远程心电联盟
恭贺中国疼痛联盟成立

反复急性/亚急性支架内血栓形成

栏目关注:

( )

核心提示:

       病史 患者男,63岁,间断胸骨后疼痛3月余,多于劳累时出现,疼痛向左肩背部放射,每次持续3~5分钟,休息 后可缓解,未治疗。10天前,患者于活动时出现胸痛,程度较以往剧烈,伴大汗,持续1 h不缓解,于当地行心电图检查提示,V1~V4导联ST段弓背向上 抬高3~5 mm,肌酸激酶同工酶(CK-MB)227 U/L,诊断为“急性前壁心梗”。经药物治疗10天后患者胸痛略有缓解,收入我院。

  目前患者休息时仍有胸痛间断发作,轻微活动后即感明显胸痛,每次持续约10余分钟,含服硝酸甘油后可缓解。患者平卧位睡眠时感胸闷、气短,半卧位可缓解,无阵发性呼吸困难。

  既往史 有高血压、高脂血症和2型糖尿病病史,吸烟史40余年(20支/日)。

  体检 心率94次/分,血压130/80 mmHg,双肺底少许湿音,心界向左下扩大,余无异常。

  辅助检查 血肌酐93 μmol/L,空腹血糖9.64 mmol/L,糖化血红蛋白(HbA1C)6.7%, 低密度脂蛋白胆固醇(LDL-C) 2.7 mmol/L,肌钙蛋白I(TnI) 1.17 ng/ml,B型钠尿肽(BNP)1958.5 pg /ml。超声心动图示左心增大(左室舒张末内径61 mm,收缩末内径42 mm,左房45×48×71 mm),左室前壁、前间隔下2/3及左室心尖心 肌变薄,射血分数53%。

  入院次日冠脉造影结果显示,左主干远段狭窄40%,前降支近段次全闭塞,右冠脉远段狭窄85%,近段管壁不规则。

  诊断 冠心病,ST段抬高性前壁心梗(STEMI)亚急性期,2型糖尿病,高血压病3级(极高危),高脂血症。(北京安贞医院杨士伟整理,详细资料见后文“相关检查结果”)

 
  诊治经过
  患者有多重冠心病危险因素,10天前确诊急性STEMI,未接受急诊介入或溶栓治疗,目前在常规药物治疗下仍有静息性心绞痛,且已发生心肌重构,左心 扩大,左心功能下降,临床诊断明确,冠脉造影证实罪犯血管为前降支。患者目前仍有症状,提示有存活(或缺血)心肌存在,治疗策略拟先干预罪犯血管,1周后 择期处理右冠脉,左主干暂不处理。

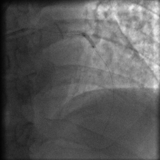
  首次PCI
  inserted image
  图1 首次PCI术中造影结果
  分别于前降支远段和近中段(图1)置入2枚支架,均使用球囊后扩张,支架贴壁良好,膨胀充分,TIMI血流3级。术后使用阿司匹林300 mg qd +氯吡格雷75 mg qd。

  患者返回病房30 min后突发胸痛、大汗,血压146/90 mmHg,心电图提示正常窦性心律,Ⅱ、Ⅲ、aVF导联及V4~V6导联ST段明显压低。
  分析原因 ①右冠脉狭窄?②支架内急性血栓形成?③其他原因。

  处理 监护、吸氧、皮下注射吗啡、静脉点滴硝酸酯类药物及泵入替罗非班后30 min,患者胸痛缓解,心电图较前改善,继续予其他二级预防药物治疗。患者术后第一天无胸痛、胸闷、喘憋,可平卧睡眠,血压、心律平稳,心电图恢复至术前。

  第二次PCI
  inserted image
  图2 PCI术后第二天出现咽部紧缩感时心电图
  首次PCI次日清晨(停用替罗非班后约2 h)患者诉咽部紧缩感,心电图如图2。冠脉造影提示前降支近段支架内血栓形成,血流TIMI 0级。患者术后循指南建议按时、足量应用抗凝、抗血小板药物,不存在依从性差因素。

  分析原因 ①患者因素 患者有糖尿病、高脂血症、高血压、吸烟史,机体处于高凝状态;②病变因素 患者前降支病 变属长、钙化病变,为易栓高危因素;③技术因素 近段支架边缘未完全覆盖斑块(可能合并夹层)、支架膨胀欠充分、贴壁不良或支架弹性回缩及断裂等;④支架 因素 药物洗脱支架血栓发生率可能较裸金属支架高,但近期研究认为二者差异并不显著;⑤阿司匹林或氯吡格雷低反应性。

  考虑急性支架内血栓形成直接原因以近段支架边缘未完全覆盖斑块可能性大。

  处理 再次PCI于原支架近端置入1枚支架(重叠2~3 mm),支架近端未突入左主干腔内;于右冠脉近端置入 1枚支架,两支架均用球囊进行后扩张,支架贴壁良好,膨胀充分,TIMI血流3级。术后阿司匹林300 mg qd+氯吡格雷75 mg bid+静脉滴 注替罗非班5~7 ml/h。

  术后当日及次日患者病情平稳,术后第2天停用替罗非班2 h后患者再次突发胸痛,心电图提示V1~V5导联ST段抬高(其中V4、V5导联为新发ST段抬高),考虑前降支支架内再次血栓形成可能性大。

  处理 两次血栓形成在时间上与停用替罗非班有关,故立即再次予替罗非班,约20 min后患者胸痛缓 解,V1~V5导联ST段回落。替罗非班以4 ml/h维持静脉滴注72 h,逐渐减量至1 ml/h。在阿司匹林(300 mg qd)和氯吡格雷 (75 mg bid)基础上加用西洛他唑(50 mg bid)。
  术后4天检查花生四烯酸(AA)、二磷酸腺苷(ADP)诱导血小板聚集率均在达标范围(15%和35%)。

  第三次PCI
  inserted image
  图3 经抽吸导管抽出白色血栓
  术后第6天停用替罗非班后40 min患者再发胸痛,心电图提示V1~V5导联ST段抬高。冠脉造影提示,前降支近段支架内血栓形成,血流TIMI 0级,右冠脉支架内血流通畅。心外科会诊认为反复支架内血栓形成原因不明,拒绝手术。

  处理 予支架内血栓抽吸[自前降支支架内抽出白色血栓(图3)],行血管内超声(IVUS)检查示前降支支架弹 性回缩,膨胀不良。使用球囊后扩张后无残留血栓影,支架贴壁良好,膨胀充分,TIMI血流3级。术后予阿司匹林300 mg qd+氯吡格雷 75 mg bid+西洛他唑100 mg bid+替罗非班5~7 ml/h静脉滴注。血栓抽吸后患者病情平稳,次日停用替罗非班未发胸痛,术后第3日 出院,继续同上口服3种抗血小板药物及其他二级预防药物。

  患者出院1周后凌晨4点再次突发胸痛,持续4 h后就诊,心电图提示V1~V4导联ST段再次抬高。复查造影结果提示,前降支近段支架内血栓形成,血流TIMI 0级,右冠脉支架内血流通畅。

  分析原因 ①患者因素 患者已戒烟并严格控制糖尿病、高脂血症、高血压,该因素非主要原因;②病变因素 尽管为 长、钙化病变,亦非主要原因,因有病变更复杂者亦未出现反复血栓形成;③技术因素 前降支近、中段支架已完全覆盖斑块,且血栓未迁延入左主干,故近段支架 边缘未完全覆盖斑块可能性小;而反复行支架内高压力后扩张,支架膨胀欠充分、贴壁不良或弹性回缩即使存在,也主要影响远期再狭窄,导致急性期反复血栓形成 可能性较小;尽管IVUS未提示,但不除外支架断裂或相邻支架未重叠;另外,前降支远段是否存在斑块未完全覆盖(可能同时合并夹层)亦不明确;④支架因 素;⑤出院后1周查ADP诱导血小板聚集率(55%)未达标,提示可能存在氯吡格雷低反应性,但患者已服用3种抗血小板药物,且均为大剂量,无进一步调药 可能。

  处理 心外科会诊再次拒绝手术治疗,故采用血栓抽吸导管抽吸血栓,在前降支远段再补支架。

  第四次PCI
  使用血栓抽吸导管自前降支支架内抽出白色血栓,在最初置入的支架间及前降支远段补加2枚支架。术后使用阿司匹林300 mg qd+氯吡格雷 75 mg bid+西洛他唑100 mg bid+替罗非班5~7 ml/h静脉滴注。患者病情平稳,术后第3天复查AA和ADP诱导血小板聚集率均达 标(15%和8%),1周后停用替罗非班,患者未再发胸痛,术后15天出院,继续同上口服3种抗血小板药物及其他二级预防药物。术后1.5月复查AA和 ADP诱导血小板聚集率均达标(16%和42%)。随访期间患者未再出现胸痛,术后半年冠脉CT提示,前降支和右冠脉支架内血流通畅。

上一条资讯:

下一条资讯:

公益活动

科室推荐